
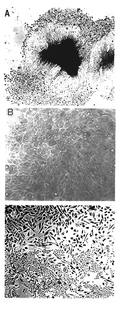
Fig. 2. Morphology of normal HMEC grown in MCDB 170. A, primary culture 5 d after seeding. The remnant of the organoid is in the center, with actively dividing cells on the outside of the patch. X38. B, confluent 9th passage cells, with typical epithelial polygonal morphology and continuing mitoses. X152. C, 3rd passage cells. Note the two distinctly different cell morphologies. The smaller cells seem similar to those in (A) and (B). The larger, elongated cells do not maintain miotic activity. X38